您的位置:首页 > 标签 > ollier病是什么意思
日常生活:ollier病是什么意思
企业动态

日常生活:ollier病是什么意思

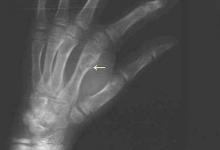
阅读是很多人在生活里最爱的事件之一,欢迎走进本网站,今日小编讲给大家带来ollier病是什么意思的相关消息,感兴趣的话跟着小编一起一探究